“三技融合”精雕细琢 湖南省肿瘤医院完成双乳癌个体化放疗
湖南省肿瘤医院 时间: 2025-05-27
近日,湖南省肿瘤医院胸部放疗二科教授团队成功为一位同时罹患双乳癌的患者实施个体化精准放疗方案,充分结合3D打印组织补偿膜、深吸气屏气(DIBH)与容积旋转调强放疗(VMAT)三种技术,在保障疗效的同时,又有效保护了心肺功能,大大提升了患者的治疗体验与生活质量。
患者肖女士,现年62岁,家住衡阳市衡山县。今年3月,她因“同时性双乳癌”在湖南省肿瘤医院接受了“双侧乳腺改良根治术+腹壁游离皮瓣重建术”。术后病理及综合评估提示双侧乳腺均存在复发高风险,需进行术后辅助放疗。但由于乳房重建后胸壁曲度变化大,传统放疗在体表剂量控制上存在一定难度,同时心脏、肺等重要脏器毗邻胸壁,也增加了治疗过程中的心肺毒性风险。
针对这一复杂情况,该院胸部放疗二科主任带领科室团队制定了多项技术融合的精准放疗方案,力求在确保治疗效果的同时最大程度降低副作用。
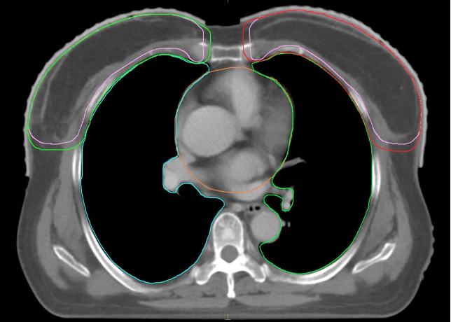
首先,团队通过3D打印组织补偿膜,为肖女士量身定制了高度贴合其胸壁的体表剂量调控装置。该补偿膜采用仿生材料,根据患者术后体表三维数据建模打印而成,具备优异的适形性和剂量均匀性,可有效填补胸壁与补偿膜之间的空气间隙,确保浅表区域剂量精准覆盖,提升治疗的稳定性与安全性。

3D打印组织补偿膜:与患者体表高度贴合,具备均匀性、适形性、生物等效性和可重复性,能够有效提高放疗剂量的准确性和稳定性。
其次,为进一步降低心脏受照剂量,团队采用了深吸气屏气(DIBH)技术。通过训练,患者在深吸气状态下屏住呼吸,此时肺部扩张,心脏因生理解剖关系自然下移,远离放射区域,从而实现对心脏的“生理性保护”。这一主动屏气配合放疗,不仅显著降低了心脏辐射剂量,也减少了后期发生放射性心肌病、冠状动脉病变等并发症的风险。

DIBH技术:患者深吸一口气然后憋住,使胸廓和肺处于扩张状态,心脏移向后下方,心脏和肺组织主动“避开”高剂量辐射区照射。
在放疗技术选择方面,团队采用了兼具精准性与经济性的VMAT技术。VMAT通过治疗设备360度旋转,动态调节射线强度与照射角度,如“精准雕刻”般将剂量集中于肿瘤区域,同时最大限度规避正常组织,并大幅缩短了单次治疗时间。
专家表示,精准放疗不仅是技术的进步,更是“以患者为中心”的医学体现。此次融合3D打印、DIBH与VMAT的个体化放疗,是湖南省肿瘤医院积极践行“三化三保”理念的具体体现——即治疗个体化、流程标准化、技术规范化,保障疗效、保护器官、保证舒适。
近年来,湖南省肿瘤医院持续推进放射治疗领域的技术革新与模式优化,特别是在乳腺癌精准治疗方面,已形成以“高精度设备+高水平团队+高人文关怀”为核心的治疗体系。此次为肖女士量身打造的个体化放疗方案,不仅为类似复杂病情的患者提供了可行路径,也标志着该院在乳腺癌放疗个体化治疗领域迈上了新台阶。
分享到微信
用微信“扫一扫”,点击右上角分享按钮,
即可将网页分享给您的微信好友或朋友圈。
公安备案号:43010502000560 